Invisalign

Ocean Township, NJ Invisalign Treatment

hand holding Invisalign clear aligner

Consider Invisalign to get the beautiful straight teeth you've always wanted - without braces. A complimentary consultation with our doctor can determine if Invisalign is right for you.

What is it?

Invisalign uses a series of invisible, removable, and comfortable aligners that no one can tell you're wearing. So, you can smile more during treatment as well as after. Invisalign is made with 3-D computer imaging technology and has been proven effective. More than 70% of orthodontists in the US and Canada are certified to treat with Invisalign.

Why would I want it?

Not only are the aligners invisible, they are removable, so you can eat and drink what you want while in treatment. Plus, brushing and flossing are no problem. They are also comfortable, with no metal to cause mouth abrasions during treatment. And no metal and wires usually means you spend less time in your doctor's office getting adjustments. Invisalign also allows you to view your own virtual treatment plan when you start so you can see how your straight teeth will look when your treatment is complete.

How does it work?

You wear each set of aligners for about two weeks, removing them only to eat, drink, brush, and floss. As you replace each aligner with the next in the series, your teeth will move - little by little, week by week - until they have straightened to their final positions. You'll visit us about once every six weeks to ensure that your treatment is progressing as planned. Total treatment time averages 9-15 months and the average number of aligners worn during treatment is between 18 and 30, but both will vary from case to case.


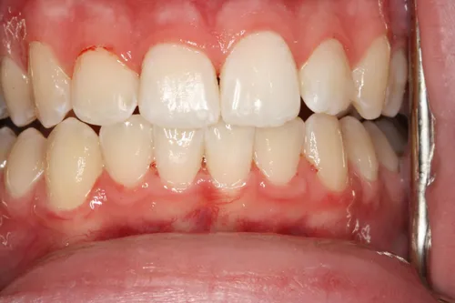
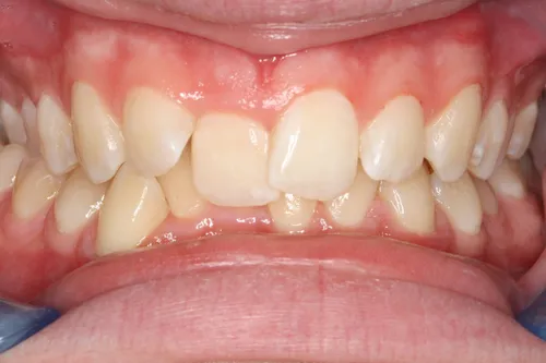
Before & After


Before & After


Ready for a new smile with our Invisalign treatment? Then call our Ocean Township, NJ office at (732) 988-7645
for more information or to book your appointment today!

Contact Us

Send Us an Email Today!

Our Location

Leitner Dental Arts - Monmouth County - Ocean Township, NJ 07712

Hours of Operation

Our Regular Schedule

Primary Location

Monday:

11:00 am-7:00 pm

Tuesday:

9:00 am-6:00 pm

Wednesday:

8:00 am-2:00 pm

Thursday:

8:00 am-5:00 pm

Friday:

Closed

Saturday:

8:00 am-1:00 pm

Sunday:

Closed